| ||||||||||||||||||||||||||||||||||||||||||||
Скачать ГОСТ 34989-2023 Мясо и мясные продукты. Общие требования и порядок проведения идентификации состава гистологическим методомДата актуализации: 01.06.2025
| ||||||||||||||||||||||||||||||||||||||||||||
| Обозначение: | ![]() ГОСТ 34989-2023 |
| Статус: | действующий |
| Название рус.: | Мясо и мясные продукты. Общие требования и порядок проведения идентификации состава гистологическим методом |
| Название англ.: | Meat and meat products. General requirements and guidelines for identification of the composition by histological method |
| Дата актуализации текста: | 01.06.2024 |
| Дата актуализации описания: | 01.01.2025 |
| Дата регистрации: | 31.08.2023 |
| Дата издания: | 01.11.2023 |
| Дата введения: | 01.01.2025 |
| Взамен: | ГОСТ 31479-2012; ГОСТ 31474-2012; ГОСТ 31500-2012 |
| Нормативные ссылки: | ГОСТ 8.423; ГОСТ 9; ГОСТ 12.1.004; ГОСТ 12.1.007; ГОСТ 12.1.018; ГОСТ 12.1.019; ГОСТ 12.4.009; ГОСТ 61; ГОСТ 597; ГОСТ 1625; ГОСТ 1770; ГОСТ 3118; ГОСТ 3760; ГОСТ 4159; ГОСТ 4232; ГОСТ 4329; ГОСТ 4530; ГОСТ 5962; ГОСТ 6259; ГОСТ 6309; ГОСТ 6672; ГОСТ 6709; ГОСТ 6824; ГОСТ 8030; ГОСТ 9284; ГОСТ 9412; ГОСТ 10752; ГОСТ 11293; ГОСТ 12026; ГОСТ 17435; ГОСТ 19126я; ГОСТ 19445.1; ГОСТ Р 58144-2018; ГОСТ 19496; ГОСТ 21239; ГОСТ 21240; ГОСТ 21241; ГОСТ 23519; ГОСТ 24147; ГОСТ 25336; ГОСТ 26678; ГОСТ 28498; ГОСТ 29227; ГОСТ 29228; ГОСТ 31467; ГОСТ 31654; ГОСТ 31796;ГОСТ ISO/IEC 17025 |
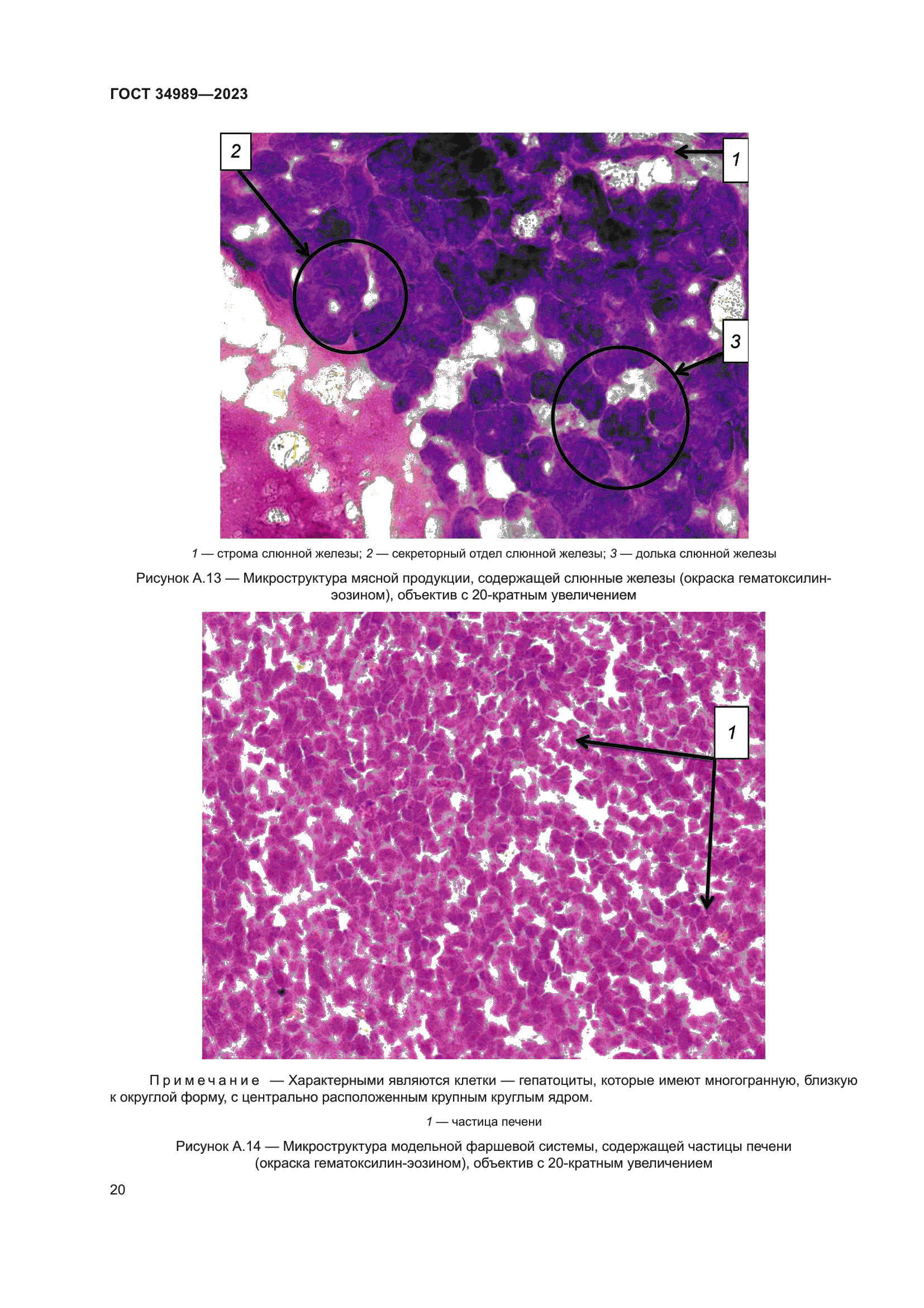
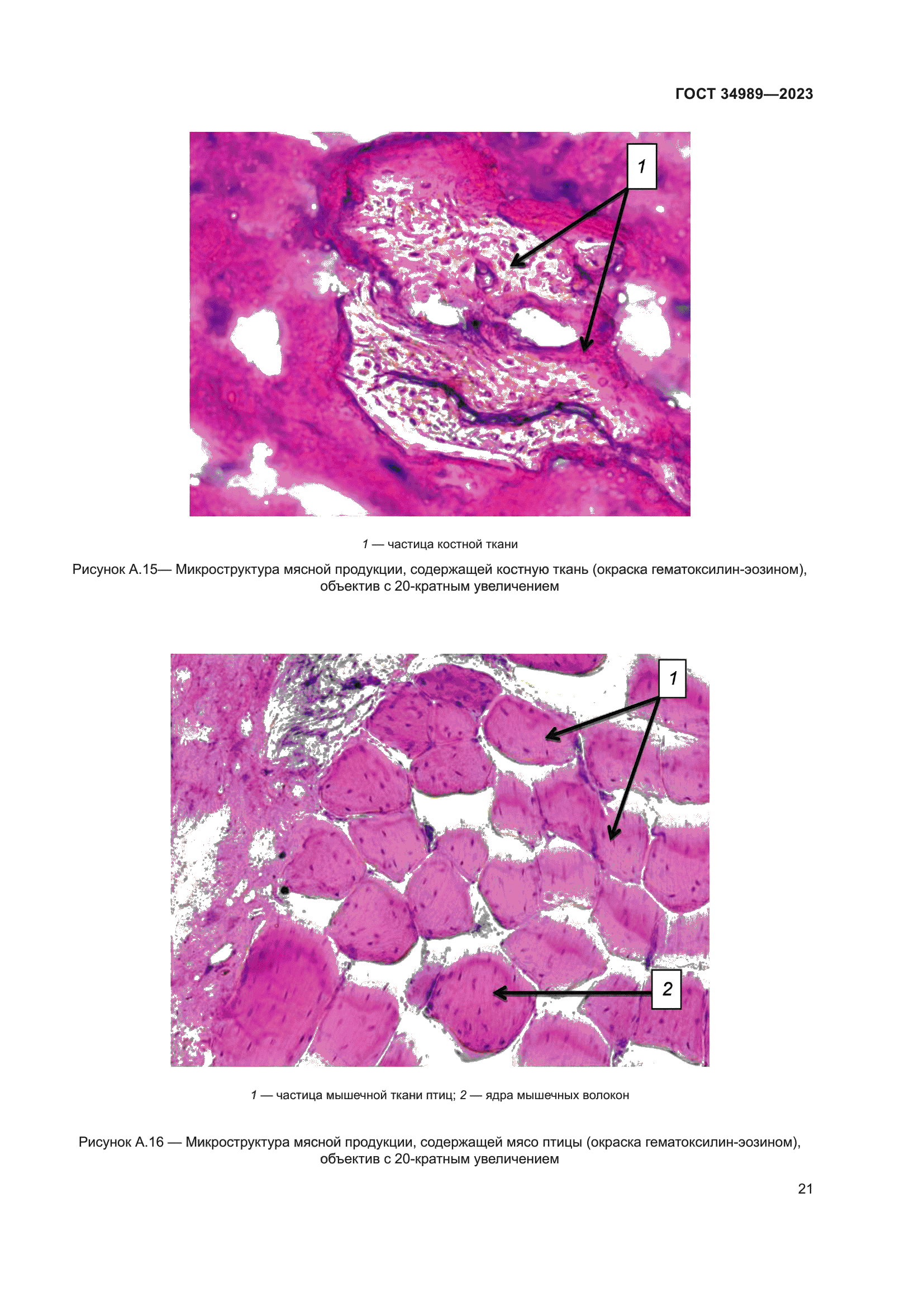
| Область применения: | Настоящий стандарт распространяется на продукты убоя (мясо, субпродукты, мясо механической обвалки) всех видов убойных животных и сельскохозяйственной птицы, а также мясную продукцию и продукцию из мяса птицы (далее – продукция), и устанавливает общие требования и порядок проведения идентификации состава указанной продукции гистологическим методом. Настоящий стандарт предназначен для идентификации ингредиентов животного и растительного происхождения, входящих в состав мясной продукции |
| Приложение №1: | Поправка к ГОСТ 34989-2023 |
| Приложение №2: | Поправка к ГОСТ 34989-2023 |
| Расположен в: | |































































| Обозначение: | Поправка к ГОСТ 34989-2023 |
| Дата введения: | 15.04.2024 |

| Обозначение: | Поправка к ГОСТ 34989-2023 |
| Дата введения: | 28.03.2025 |
